Dental Implants in Moline, IL
When you’re missing one or more of your teeth, you understand the daily challenges it presents. Chewing food becomes difficult, causing your diet and nutrition to suffer. You may feel self-conscious about smiling or meeting new people, which causes your personal and professional relationships to suffer as well.
Missing teeth definitely take a toll on your confidence, but did you know that your oral health also suffers?
When a tooth is missing, your remaining teeth will begin to shift into the open space, causing misalignment to your bite and putting your healthy teeth at risk for damage and fractures. When your root is missing, your bone will begin to resorb or lose density, changing the appearance of your face and putting your healthy teeth at risk for more loss.
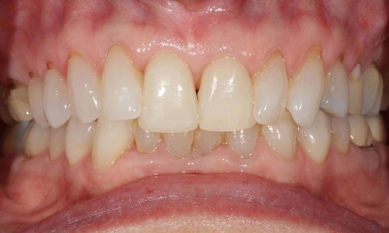
The good news is that dental implants offer patients an option for tooth replacement that is by far the best available. The secret to the success of dental implants is that they replace both your root and your tooth and restore all of the function and esthetics you had with your natural tooth.
Dr. Jackson has extensive training from Spear Faculty Club in implant restoration and uses CEREC’s advanced technology to craft custom-blended implant crowns that will naturally complement your smile.
What Is a Dental Implant?
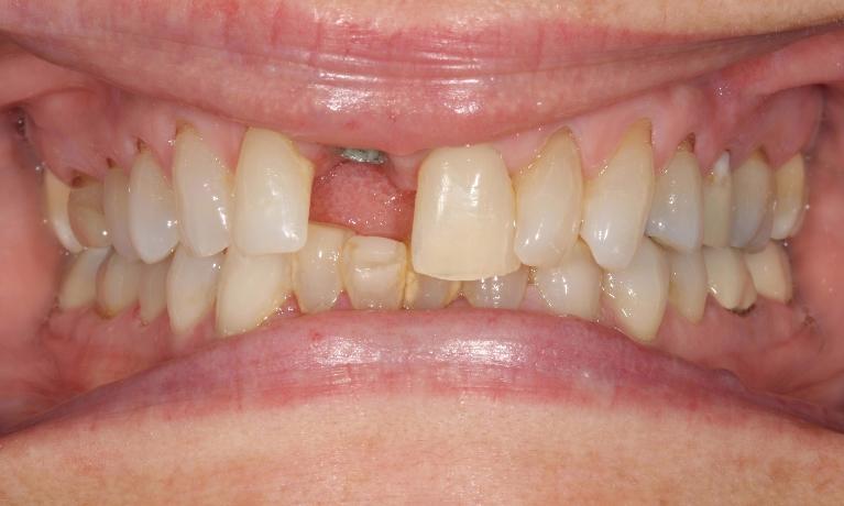
A dental implant consists of three parts. Your new “root” is made of titanium, which is biocompatible and will integrate with your bone over time after it’s surgically placed. Next is the abutment, which is what your new “tooth,” or porcelain crown, will attach to after the appropriate healing time. Your dental implant protects the integrity of both your teeth and bone.
Your implant is designed to match your existing teeth and naturally complete your smile so no one will ever know you were missing a tooth. Because it mimics your natural tooth, you’ll be able to eat, brush, and floss your new tooth exactly as you would any of your other teeth.
Implants are very durable, and with regular dental check-ups in Moline, IL and excellent home care, your implant can potentially last a lifetime.
Am I a Candidate for Dental Implants?
Implants do require that the patient is in good overall health and has enough healthy bone structure to support the restoration. Using 3-D imaging and a thorough examination, Dr. Jackson can determine if you’re a good candidate for dental implants in Moline, IL. Even if you’re missing multiple teeth, implants are being used to support dental bridges, partials, and dentures, which may be options for restoring your smile.
Contact Joseph D. Joseph DMD today to schedule your consultation and learn how implants can restore beauty and function to your smile!
Successful Implant
"Just a note to say how much I appreciate all of you. The successful implant has really changed my life. I am so very happy to really eat again! Thank you for your professionalism with compassion. There is a warmth and caring in all aspects of your practice and it means a lot."
-Judy
Frequently Asked Questions
Replace Missing Teeth in Moline, IL
Dental implants in Moline, IL are by far the best option to replace a missing tooth. The secret behind the success of dental implants lies in the fact that they replace both your tooth and your root. This protects the integrity of your healthy remaining teeth and also your keeps your jawbone healthy and stimulated.
A Permanent Tooth Replacement
Solution
Your new root is surgically placed in your jawbone, and it easily integrates with your bone during the appropriate healing time. The procedure for dental implants in the Quad Cities isn’t painful as there are no nerves located in your bone. Most patients are pleasantly surprised at how easy and comfortable the procedure is.
When comparing the cost of dental implants in Moline IL, with other options like removable dentures or bridges, it’s a good idea to consider the advantages implants offer. In just about every way that matters, there’s no comparison.
While we can’t tell you exactly how much dental implants will cost in your case until we see you, as a dentist in the quad cities, we can tell you about the benefits they offer.
Increased Longevity
The initial cost of fixed dental bridges and dentures is less than dental implants, but you’ll need to replace them every five to ten years, making them more expensive in the long-term.
Dental implants in Moline, IL have the potential to last a lifetime.
Improved Jaw Bone Health
Dental bridges and removable dentures sit on top of your gums, so they don’t do anything to protect the integrity of your jawbone. Over the years, you’ll experience bone loss that affects the youthful contours of your face and give you an aged or sunken appearance.
A dental implant is a titanium replacement root that is surgically placed in your jaw. As it heals, the implant integrates with your jaw to stimulate bone regeneration that protects surrounding teeth and supports your facial features.
Better Quality of Life
Dental implants are the closest thing to natural teeth that dentistry has to offer. Imagine having the freedom again to take a bite out of a crisp apple without discomfort and without the worry that you would have with removable dentures.
We offer restorative dentistry at our Moline, IL dental office that includes tooth replacement with dental implants. If you would like to get an idea of what a dental implant would cost in your case, call us to schedule a dental implant appointment with Dr. Jackson.
Meet Your Care Team:
Kari
Dental Assistant
After completing the dental assistant program at Dental Assisting Technologies in 2007, I spent over nine years at my first dental office before transitioning to a practice on the Illinois side of the ...
Dr. Joseph Jackson
I love being a member of such a well respected community of professionals. I strive to be the best dentist I can be through education and service to my community. Organized dentistry has a strong ...
Featured Blog Posts - Dental Implants
What You Need to Know If You Smoke and Want Dental Implants
Most adult smokers understand the numerous health risks of long-term tobacco use and don’t need anyone to tell them why they should quit. What they may not realize, however, is that smoking also has serious, detrimental effects on their oral health.
In fact, if you are interested in getting dental implants ...
How Dental Implants Benefit Your Dental Health
If you have a tooth that is compromised, you may not feel much like smiling. Eating and chewing can become quite tricky, and even painful with a failing tooth. If your tooth is already missing, you might feel even more self-conscious about smiling or interacting with other people. Did you ...
Does Getting a Dental Implant Hurt?
Getting a dental implant is a surgical procedure and everyone’s pain tolerance level is different. Therefore, what one person may perceive as pain is only a slight discomfort for another person. The general consensus about pain and dental implants is that the majority of people feel discomfort, not pain.