Accessible Version
Joseph D. Jackson DMD
Moline, East Moline, Rock Island and all surrounding Quad City areas.
Office Hours: M-Th:8-5 F:8-2

Cosmetic Composite Bonding

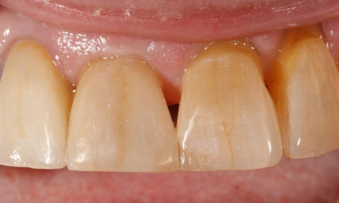
Bonding doesn't have to look fake! This patient presented with half of her front tooth missing. Dr. Jackson was able to place tooth colored filling and match it to the surrounding teeth. The patient was very happy with the result! Can you tell that this is a filling?!

Related Services:

Cosmetic Dentistry
Ready to book an appointment?
If you have difficulty using our website, please email us or call us at (309) 764-3242