Accessible Version
Joseph D. Jackson DMD
Joseph D. Jackson DMD
Schedule an Appointment
Like us on Facebook
Follow us on Twitter
Visit us on Yelp
Watch our Youtube Videos
Leave a Google Review
(309) 764-3242
2900 41st Street
Moline, IL 61265
PAY ONLINE
Menu
Call
Book Now
Map
Home
About
Our Team
Technology
Office Pictures
Services
View All
Sleep Apnea
CEREC One-Visit Crowns
General Dentistry
Cosmetic Dentistry
Invisalign
Dental Implants
Digital Dentistry
Laser Dentistry
Dental Crowns, Fillings, and Veneers
Root Canal Therapy
TMJ Therapy
Smile Gallery
Testimonials
Patient Info
View Patient Info
Forms
Financial
FAQs
Blog
Contact
Joseph D. Jackson DMD
>
Smile Gallery
>
Crowns
Moline, East Moline, Rock Island and all surrounding Quad City areas.
Office Hours: M-Th:8-5 F:8-2
Crowns
Return to Smile Gallery
Previous
Next
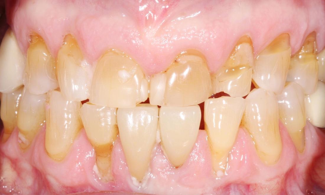
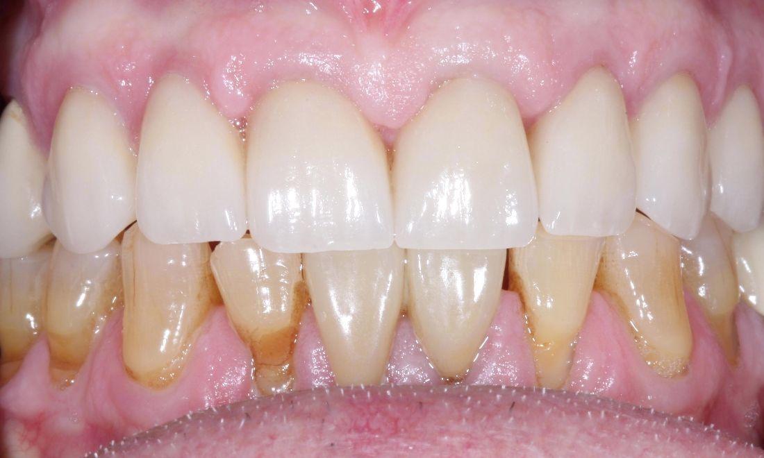
Beautiful new crowns to replace badly worn teeth.
Related Services:
CEREC One-Visit Crowns
Cosmetic Dentistry
Before
After
Still need an appointment?
Contact Us
If you have difficulty using our website, please
email us
or call us at
(309) 764-3242
View the
ADA Accessibility Statement
Turn on ADA Views
OK!
×
×
Contact Us Today
Give Us A Call
Joseph D. Jackson DMD -
(309) 764-3242
Send Us an Email
Schedule an Appointment
Contact
Ready to Schedule an Appointment?
Schedule an Appointment
Have Questions? Contact Us:
Required Field
Your Name:
Phone:
Email:
Are you a new patient?:
Are you a?
New Patient
Current Patient
How would you like us to contact you?
Please choose
Email
Call
How did you hear about us?
Please choose
I'm an existing patient
Google/Bing
Mailer
Word of mouth
Social media
Other
Who Referred You?:
Appointment Preferences
Monday
Tuesday
Wednesday
Thursday
Friday
Your Message:
This site is protected by reCAPTCHA and the Google
Privacy Policy
and
Terms of Service
apply.
Sending...
×
This Patient's Experience
Loading Testimonial...
Loading Case...