Accessible Version
Joseph D. Jackson DMD
Moline, East Moline, Rock Island and all surrounding Quad City areas.
Office Hours: M-Th:8-5 F:8-2

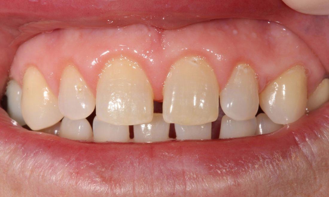
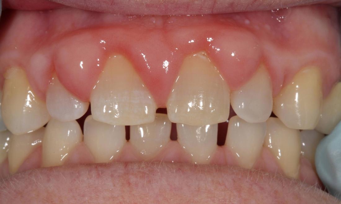
Laser Gum Re-contouring

This patient had overgrown gums due to medications they were taking. We were able to reshape them using our Biolase Epic diode laser. The procedure took only a few minutes and the gums healed extremely fast because no scalpels or stitches were needed.

Related Services:

Laser Dentistry
Still need an appointment?
If you have difficulty using our website, please email us or call us at (309) 764-3242