Accessible Version
Joseph D. Jackson DMD
Moline, East Moline, Rock Island and all surrounding Quad City areas.
Office Hours: M-Th:8-5 F:8-2

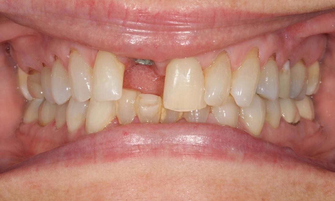
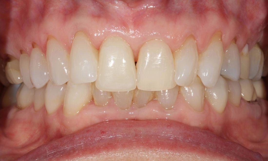
Implant Replacement of Cracked Tooth

This patient had to have a cracked front tooth removed. The tooth was replaced using CEREC technology by making a customized implant attachment and crown. We were thrilled with the natural looking outcome.

Related Services:

Dental Implants
Getting an appointment is fast and easy!
If you have difficulty using our website, please email us or call us at (309) 764-3242